Niềng Răng Gây Hôi Miệng, Viêm Nướu, Sâu Răng – Nguyên Nhân & Cách Khắc Phục
Niềng răng giúp cải thiện thẩm mỹ và khớp cắn, nhưng không ít người gặp tình trạng hôi miệng, viêm nướu hoặc sâu răng trong quá trình niềng. Đây là những vấn đề phổ biến, nhưng hoàn toàn có thể phòng tránh nếu hiểu đúng nguyên nhân và chăm sóc đúng cách.

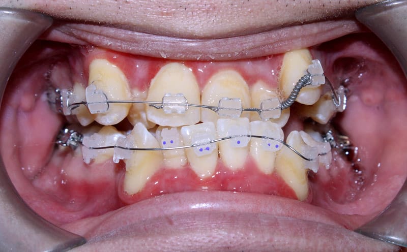
Vệ sinh không đúng cách sẽ rất dễ gây viêm nướu, sâu răng trong quá trình niềng răng
Tại sao niềng răng dễ gây hôi miệng, viêm nướu, sâu răng?
1. Hôi miệng do mảng bám đọng lại quanh mắc cài / khay niềng
Thức ăn dễ mắc vào mắc cài, dây cung hoặc khay trong suốt.
Nếu không làm sạch kỹ, vi khuẩn phân hủy thức ăn → gây mùi khó chịu trong khoang miệng.
2. Viêm nướu do vệ sinh khó khăn
Khi mảng bám tích tụ lâu ngày, lợi bắt đầu sưng đỏ, nhạy cảm, dễ chảy máu khi chải răng.
Một số trường hợp mắc cài cọ xát vào lợi → gây kích ứng.

viêm nướu khi niềng răng, tình trạng rất hay gặp nếu không vệ sinh đúng cách, đặc biết với trường hợp răng chen chúc nghiêm trọng
3. Sâu răng trong quá trình niềng
Do khả năng chải sạch kém ở vùng xung quanh mắc cài và kẽ răng.
Axit từ vi khuẩn tấn công men răng → xuất hiện đốm trắng, lỗ sâu nhỏ mà nhiều người không để ý.

Cách khắc phục và phòng tránh hiệu quả
✅ Sử dụng bàn chải kẽ, máy tăm nước để làm sạch sâu
✅ Đánh răng sau mỗi bữa ăn, kết hợp nước súc miệng kháng khuẩn
✅ Tránh đồ ngọt, nước có ga, thức ăn bám dính như bánh kẹo, trà sữa
✅ Tái khám đúng hẹn để bác sĩ vệ sinh răng và kiểm tra mắc cài
✅ Nếu có dấu hiệu sưng đau, hôi miệng kéo dài → cần điều trị ngay
✅ Việc để sâu răng trong quá trình niềng có thể xử lý sau khi tháo mắc cài
👉 Video hướng dẫn vệ sinh răng miệng khi niềng răng:
Nếu bạn đang trong giai đoạn niềng răng và gặp các vấn đề kể trên, đừng lo lắng hoặc tự ý dùng thuốc — hãy để bác sĩ chuyên khoa chỉnh nha kiểm tra và điều trị đúng nguyên nhân.
Nha khoa Ocare – Trung tâm niềng răng chuyên sâu về.
Đội ngũ bác sĩ tốt nghiệp ĐH. Y Dược TP.HCM với hơn 20 năm kinh nghiệm đã và đang điều trị niềng răng cho hơn 8000 khách hàng.
Phác đồ chăm sóc răng miệng chuyên biệt cho người đang niềng, hạn chế sâu răng – không viêm nướu – không hôi miệng trong suốt hành trình chỉnh nha.
- Kết quả tối ưu: Niềng răng tại nha khoa Ocare không chỉ đảm bảo về tính thẩm mỹ, mà còn đảm bảo về khớp cắn chức năng, điều mà ít nha khoa làm được.
Trang thiết bị hiện đại, hỗ trợ vệ sinh răng & điều trị nhanh chóng, không đau.
👉 Nếu đang lo lắng vì niềng răng gây hôi miệng hoặc viêm nướu, hãy đặt lịch tại Ocare để được kiểm tra và xử lý kịp thời — tránh ảnh hưởng kết quả niềng.


