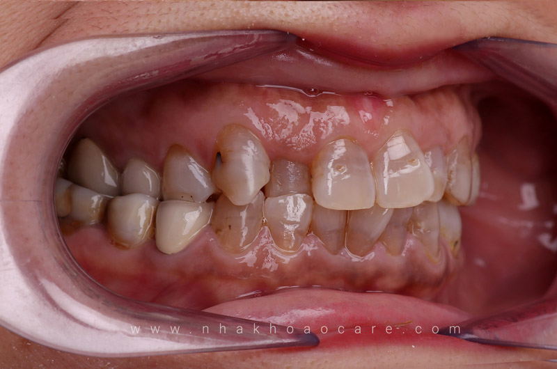
Khách hàng đến Nha Khoa Ocare với tình trạng: Răng sai khớp cắn và nhiễm màu nặng do tetracycline, màu răng sẫm khó cải thiện bằng phương pháp tẩy trắng thông thường. Điều này ảnh hưởng lớn đến khả năng ăn nhai, thẩm mỹ nụ cười và sự tự tin khi giao tiếp
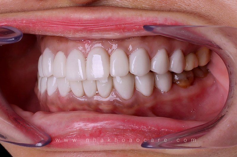
Giải pháp được lựa chọn Dán sứ Veneer: Sử dụng sứ cao cấp với độ mỏng chỉ từ 0.3 – 0.5 mm, giữ lại tối đa mô răng thật, hạn chế mài răng. Hiệu quả là che phủ hiệu quả tình trạng nhiễm màu tetracycline đem lại màu răng trắng sáng, tự nhiên và lâu bền
BEFORE | AFTER
*Lưu ý: Kết quả và thời gian điều trị tùy thuộc vào từng trình trạng cụ thể










