Đau Răng Nhiễm Trùng: Nguyên Nhân, Dấu Hiệu và Cách Xử Lý An Toàn
Cơn đau răng dữ dội, dai dẳng có thể là dấu hiệu cảnh báo một vấn đề nghiêm trọng hơn bạn nghĩ: nhiễm trùng. Tình trạng đau răng nhiễm trùng không chỉ gây khó chịu mà còn tiềm ẩn nhiều rủi ro nguy hiểm cho sức khỏe tổng thể nếu không được điều trị kịp thời. Bài viết này sẽ cung cấp cho bạn những thông tin cần thiết để nhận biết và xử lý đúng cách khi gặp phải vấn đề này.

Đau răng nhiễm trùng là gì?
Đau răng nhiễm trùng, hay còn gọi là áp xe răng, là tình trạng vi khuẩn xâm nhập và gây viêm nhiễm ở phần tủy răng (phần mô mềm bên trong răng chứa dây thần kinh và mạch máu) hoặc ở vùng chân răng và nướu xung quanh. Khi vi khuẩn phát triển, chúng tạo thành một túi mủ, gây áp lực lên các dây thần kinh và dẫn đến những cơn đau dữ dội.

Dấu hiệu nhận biết đau răng nhiễm trùng không thể bỏ qua
Nhiễm trùng răng thường đi kèm với những triệu chứng rõ ràng và ngày càng trầm trọng. Hãy đến gặp nha sĩ ngay nếu bạn có bất kỳ dấu hiệu nào sau đây:
- Đau nhức dữ dội, liên tục: Cơn đau có thể lan ra hàm, tai hoặc cổ.
- Răng nhạy cảm: Răng trở nên cực kỳ nhạy cảm với nhiệt độ nóng, lạnh và áp lực khi nhai.
- Sưng tấy: Nướu quanh răng bị nhiễm trùng sưng đỏ, có thể sưng lan ra má hoặc mặt.
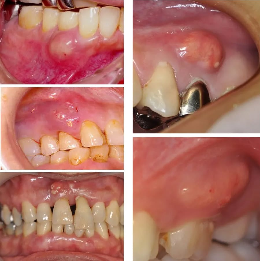
- Có mủ: Một nốt sưng nhỏ như mụn xuất hiện trên nướu, có thể chảy mủ và gây ra vị đắng, mùi hôi trong miệng.
- Sốt: Cơ thể có thể bị sốt nhẹ khi hệ miễn dịch đang chống lại nhiễm trùng.
- Sưng hạch bạch huyết: Các hạch ở dưới hàm hoặc ở cổ có thể bị sưng và đau.

Nguyên nhân chính gây ra tình trạng nhiễm trùng răng
Hiểu rõ nguyên nhân giúp bạn phòng ngừa hiệu quả hơn tình trạng đau răng do nhiễm trùng. Dưới đây là những thủ phạm phổ biến nhất:
Sâu răng nặng
Đây là nguyên nhân hàng đầu. Khi lỗ sâu không được điều trị, vi khuẩn sẽ ăn sâu qua lớp men và ngà răng, tấn công vào tủy răng và gây nhiễm trùng.
Nứt, vỡ răng
Chấn thương hoặc tai nạn có thể gây ra các vết nứt, vỡ trên răng, tạo thành con đường lý tưởng để vi khuẩn xâm nhập vào bên trong.
Bệnh về nướu (Nha chu)
Viêm nướu hoặc viêm nha chu nặng có thể khiến nướu bị tụt, tạo thành các túi nha chu. Vi khuẩn tích tụ trong các túi này có thể di chuyển xuống chân răng và gây nhiễm trùng.
BS.CKI Võ Duy Huy tư vấn về tình trạng Apxe răng
Mức độ nguy hiểm của đau răng nhiễm trùng
Tuyệt đối không nên xem thường tình trạng đau răng nhiễm trùng. Nếu không được điều trị, nhiễm trùng có thể lan rộng và gây ra các biến chứng nghiêm trọng:
- Mất răng: Nhiễm trùng phá hủy xương nâng đỡ răng, dẫn đến răng lung lay và phải nhổ bỏ.
- Viêm mô tế bào: Nhiễm trùng lan sang các mô mềm ở mặt và cổ.
- Nhiễm trùng huyết (Sepsis): Một phản ứng cực đoan của cơ thể với nhiễm trùng, có thể đe dọa tính mạng khi vi khuẩn xâm nhập vào máu.
- Áp xe não: Trong những trường hợp hiếm gặp, vi khuẩn có thể theo đường máu di chuyển lên não và gây áp xe.
Cần làm gì khi bị đau răng do nhiễm trùng?
Khi nghi ngờ mình bị đau răng do nhiễm trùng, việc quan trọng nhất là đến gặp nha sĩ ngay. Đây là tình trạng khẩn cấp và không thể tự chữa khỏi tại nhà. Nha sĩ sẽ chẩn đoán chính xác và đưa ra phương pháp điều trị phù hợp như dẫn lưu mủ, điều trị tủy hoặc nhổ răng nếu cần thiết, kết hợp với việc kê đơn thuốc kháng sinh để loại bỏ nhiễm trùng.
Trong thời gian chờ đến lịch hẹn, bạn có thể áp dụng một số biện pháp giảm đau tạm thời:
- Súc miệng bằng nước muối ấm.
- Chườm lạnh bên ngoài má để giảm sưng.
- Tránh ăn nhai ở bên răng bị đau.
Đừng chủ quan với sức khỏe của mình. Nếu bạn đang có những dấu hiệu của đau răng nhiễm trùng, hãy liên hệ ngay với Nha Khoa Ocare để được thăm khám và điều trị dứt điểm, bảo vệ nụ cười và sức khỏe toàn diện của bạn.


