Mất răng số 6 tác hại thế nào? Hậu quả không chỉ là một khoảng trống
Mất răng số 6 không chỉ là mất một chiếc răng
Nhiều người nghĩ rằng mất một chiếc răng, đặc biệt là răng số 6, chỉ đơn giản là để lại một khoảng trống trên cung hàm. Tuy nhiên, thực tế đây có thể là khởi đầu cho hàng loạt thay đổi bất lợi trong khoang miệng.
Răng số 6 (răng cối lớn thứ nhất) đóng vai trò cực kỳ quan trọng trong việc ăn nhai và giữ ổn định khớp cắn. Khi chiếc răng này mất đi, sự cân bằng của toàn bộ hệ thống răng miệng bắt đầu bị phá vỡ.

Răng kế cận sẽ dần xô lệch
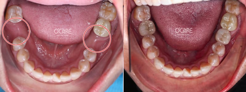
Sau khi mất răng số 6, các răng bên cạnh sẽ có xu hướng nghiêng và trượt vào khoảng trống theo thời gian. Ban đầu sự dịch chuyển này rất nhỏ nên khó nhận thấy, nhưng dần dần sẽ làm thay đổi vị trí của các răng.
Khi răng bị xô lệch:
Khớp cắn trở nên không còn cân bằng
Lực nhai phân bố không đều
Các răng xung quanh dễ bị yếu và lung lay hơn
Điều này có thể dẫn đến các vấn đề như mòn răng, kẹt thức ăn, sâu răng và viêm nướu.

răng sô lệch sau khi mất răng
Răng đối diện có thể trồi dài
Không chỉ các răng bên cạnh bị ảnh hưởng, răng đối diện với răng số 6 bị mất cũng có thể bắt đầu trồi dài xuống (hoặc lên) vì không còn răng để tiếp xúc khi cắn.
Sự thay đổi này tiếp tục làm:
Rối loạn khớp cắn
Tăng nguy cơ mòn răng và sang chấn khớp cắn
Gây đau hoặc khó chịu vùng khớp thái dương hàm

Tiêu xương hàm – hậu quả âm thầm nhưng nghiêm trọng
Điều đáng lo nhất khi mất răng số 6 xảy ra ở xương hàm.
Bình thường, chân răng sẽ truyền lực nhai xuống xương hàm, giúp kích thích và duy trì mật độ xương. Khi răng bị mất, sự kích thích này biến mất, khiến vùng xương tại vị trí đó bắt đầu tiêu dần theo thời gian.
Quá trình này gọi là tiêu xương ổ răng và có thể dẫn đến:
Giảm thể tích xương hàm
Khó phục hình răng về sau
Thay đổi cấu trúc khuôn mặt
Vùng má hoặc môi bị hõm nhẹ theo thời gian

Phục hồi răng sớm giúp bảo vệ toàn bộ hệ thống răng miệng
Việc phục hồi răng số 6 sớm không chỉ mang tính thẩm mỹ mà còn giúp duy trì sự ổn định của toàn bộ hàm răng.
Các phương pháp phổ biến hiện nay gồm:
Trồng răng Implant
Cầu răng sứ
- Niềng răng
Phục hồi răng sớm giúp:
Ngăn chặn răng xô lệch
Duy trì khớp cắn ổn định
Bảo vệ các răng kế cận
Hạn chế tiêu xương hàm

Cấy ghép implant khi mất răng số 6 tại nha khoa Ocare

Niềng răng khi mất răng số 6 tại nha khoa Ocare
Điều trị mất răng càng sớm càng tốt
Mất răng số 6 tưởng chừng là vấn đề nhỏ, nhưng nếu để lâu có thể ảnh hưởng đến cả hệ thống răng miệng và chức năng ăn nhai.
Việc điều trị sớm sẽ giúp:
Khôi phục khả năng nhai hiệu quả
Bảo tồn xương hàm
Giữ ổn định khớp cắn lâu dài
Đừng chờ đến khi các răng khác bắt đầu xô lệch hoặc xuất hiện đau khớp hàm mới điều trị. Xử lý mất răng sớm chính là cách bảo vệ sức khỏe răng miệng lâu dài.


