Niềng răng điều trị khớp cắn ngược cho trẻ em: Những điều cha mẹ cần biết
Khớp cắn ngược (hay còn gọi là răng móm) là một trong những sai lệch khớp cắn nghiêm trọng ở trẻ em. Tình trạng này không chỉ ảnh hưởng đến thẩm mỹ nụ cười mà còn tác động trực tiếp đến sự phát triển cấu trúc xương hàm và khuôn mặt của trẻ trong tương lai.

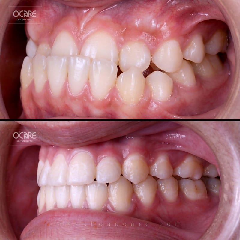
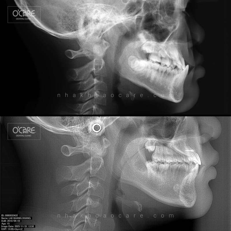
Tại Nha khoa Ocare, chúng tôi vừa hoàn tất thành công một ca niềng răng điều trị khớp cắn ngược cho trẻ em do BS.CKI Lương Thị Lài trực tiếp thực hiện. Kết quả mang lại sự thay đổi rõ rệt về diện mạo và chức năng ăn nhai, giúp bé tự tin hơn trên hành trình trưởng thành.
1. Khớp cắn ngược ở trẻ em – Đừng chủ quan vì “đợi lớn rồi tính”
Nhiều phụ huynh vẫn giữ quan niệm rằng: “Để bé thay hết răng sữa, lớn thêm chút nữa rồi niềng cũng được”. Tuy nhiên, theo các chuyên gia chỉnh nha, đây là quan điểm hoàn toàn sai lầm đối với trường hợp khớp cắn ngược.
- Xương hàm đang trong giai đoạn phát triển: Ở lứa tuổi nhỏ, xương hàm của trẻ còn mềm và đang phát triển, việc can thiệp để điều chỉnh hướng phát triển của xương dễ dàng và đạt hiệu quả cao hơn nhiều so với người trưởng thành.
- Nguy cơ lệch mặt: Nếu không điều trị sớm, hàm dưới phát triển quá mức so với hàm trên sẽ dẫn đến tình trạng móm nặng, gây lệch mặt và mất cân đối nghiêm trọng.
- Hệ quả tương lai: Khi đã qua độ tuổi tăng trưởng, những ca móm nặng thường không thể chỉ giải quyết bằng niềng răng mà phải can thiệp bằng phẫu thuật cắt chỉnh xương hàm phức tạp và tốn kém.

2. Lợi ích vượt trội khi niềng răng sớm cho trẻ
Việc thực hiện niềng răng điều trị khớp cắn ngược cho trẻ em đúng thời điểm mang lại “lợi ích kép” cho sức khỏe và tương lai của bé:
- Điều chỉnh hướng phát triển xương hàm: Giúp hàm trên phát triển ra ngoài và kiềm chế sự phát triển quá mức của hàm dưới.
- Cải thiện khớp cắn ngay từ nhỏ: Giúp việc ăn nhai thuận tiện, hạn chế các bệnh về tiêu hóa và khớp thái dương hàm.
- Hạn chế can thiệp phức tạp: Giảm thiểu tối đa nguy cơ phải nhổ răng hoặc phẫu thuật khi trưởng thành.
- Tăng sự tự tin: Giúp bé sở hữu gương mặt hài hòa, nụ cười tươi tắn, từ đó tự tin hơn trong giao tiếp với bạn bè.
3. Thời điểm vàng để can thiệp chỉnh nha cho trẻ
Các chuyên gia nha khoa nhấn mạnh rằng, thời điểm vàng để điều trị khớp cắn ngược là từ 6 đến 12 tuổi. Đây là giai đoạn trẻ đang thay răng và xương hàm có độ tăng trưởng mạnh mẽ nhất.
Can thiệp trong giai đoạn này giúp quá trình niềng răng diễn ra:
✅ Nhẹ nhàng hơn: Răng và xương dễ dịch chuyển theo ý muốn của bác sĩ.
✅ Hiệu quả hơn: Đạt được khớp cắn chuẩn xác nhất.
✅ Tiết kiệm hơn: Rút ngắn thời gian điều trị và giảm chi phí so với các ca phức tạp ở người lớn.
4. Dấu hiệu nhận biết trẻ cần đi khám chỉnh nha sớm
Bạn và các bậc phụ huynh nên đưa bé đến gặp bác sĩ nha khoa ngay nếu nhận thấy các dấu hiệu sau:
- Răng cửa hàm dưới chìa ra ngoài và bao phủ răng cửa hàm trên khi cắn lại.
- Trẻ thường xuyên có thói quen mím môi, hàm dưới đưa ra trước rõ rệt.
- Trẻ có xu hướng nhai lệch một bên hoặc gặp khó khăn khi phát âm.
- Khuôn mặt nhìn nghiêng có dạng lưỡi cày, cằm dài và nhô ra.
5. Kết quả sau điều trị khớp cắn ngược tại Nha khoa Ocare
Dưới bàn tay chuyên môn của BS.CKI Lương Thị Lài, các ca niềng răng cắn ngược tại Ocare đều đạt được những kết quả ấn tượng:
- Khớp cắn chuẩn: Hàm trên bao ngoài hàm dưới theo đúng tỷ lệ sinh lý.
- Răng đều đặn: Các răng được sắp xếp đúng vị trí, chuẩn đường giữa.
- Gương mặt hài hòa: Góc nghiêng cải thiện rõ rệt, cằm không còn bị nhô ra phía trước.
- Chức năng ăn nhai hoàn hảo: Bé ăn uống ngon miệng và phát âm chuẩn hơn.




✨ Lời khuyên từ chuyên gia: Đừng đợi đến khi răng và xương hàm phát triển hoàn thiện mới bắt đầu điều trị. Đầu tư cho nụ cười của con ngay từ hôm nay chính là món quà vô giá cho tương lai của bé!
📍 Nếu bạn đang lo lắng về tình trạng răng miệng của con, hãy liên hệ ngay với Nha khoa Ocare để được bác sĩ tư vấn giải pháp niềng răng điều trị khớp cắn ngược phù hợp nhất nhé!
6. Chi phí niềng răng điều trị khớp cắn ngược tại Nha khoa Ocare
| Niềng răng mắc cài kim loại | Thời gian điều trị | Chi phí | ||
|---|---|---|---|---|
| Mắc cài kim loại thường | Dưới 2 năm | 39.500.000 | ||
| Mắc cài kim loại thường | Trên 2 năm | 44.500.000 | ||
| Mắc cài kim loại thường có khóa | Dưới 2 năm | 44.500.000 | ||
| Mắc cài kim loại thường có khóa | Trên 2 năm | 49.500.000 | ||
| Niềng răng kim loại MEAW | Dưới 2 năm | 49.500.000 | ||
| Niềng răng kim loại MEAW | Trên 2 năm | 59.500.000 | ||
| Niềng răng kim loại MEAW có khóa | Dưới 2 năm | 54.500.000 | ||
| Niềng răng kim loại MEAW có khóa | Trên 2 năm | 64.500.000 | ||
| Niềng răng mắc cài sứ | Thời gian điều trị | Chi phí | ||
| Mắc cài sứ | Dưới 2 năm | 44.500.000 | ||
| Mắc cài sứ | Trên 2 năm | 49.500.000 | ||
| Mắc cài sứ có khóa kim loại | Dưới 2 năm | 49.500.000 | ||
| Mắc cài sứ có khóa kim loại | Trên 2 năm | 54.500.000 | ||
| Mắc cài sứ có khóa sứ | Dưới 2 năm | 54.500.000 | ||
| Mắc cài sứ có khóa sứ | Trên 2 năm | 59.500.000 | ||
| Niềng răng sứ Meaw | Dưới 2 năm | 54.500.000 | ||
| Niềng răng sứ Meaw | Trên 2 năm | 64.500.000 | ||
| Niềng răng máng trong suốt | Chi phí điều trị | |||
| Niềng răng trong suốt Invisalign Express | 68.500.000 | |||
| Niềng răng trong suốt Invisalign Lite | 92.500.000 | |||
| Niềng răng trong suốt Invisalign Moderate | 112.500.000 | |||
| Niềng răng trong suốt Invisalign Comprehensive | 132.500.000 | |||
| NIềng răng trong suốt Ivisalign Essnsials | 49.500.000 | |||
| Niềng răng trong suốt Ocalign | 49.500.000 |



