Răng Cửa Bị Gãy Phải Làm Sao? Hướng Dẫn Xử Lý Chi Tiết Từ A-Z
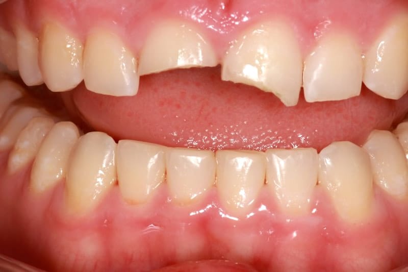
Gãy răng cửa là một tai nạn không ai mong muốn, gây ảnh hưởng nghiêm trọng đến thẩm mỹ nụ cười, khả năng ăn nhai và cả sự tự tin trong giao tiếp. Trong khoảnh khắc bối rối đó, câu hỏi lớn nhất luôn là “răng cửa bị gãy phải làm sao?”. Đừng quá lo lắng! Với sự tiến bộ của nha khoa hiện đại, hầu hết mọi trường hợp gãy răng cửa đều có thể được khắc phục hiệu quả. Bài viết này sẽ cung cấp cho bạn một hướng dẫn chi tiết từ A-Z, từ cách sơ cứu ban đầu đến các phương pháp điều trị tối ưu nhất.

Các Bước Sơ Cứu Quan Trọng Cần Làm Ngay Lập Tức
Phản ứng nhanh và đúng cách ngay sau khi răng bị gãy có thể quyết định rất lớn đến khả năng cứu sống chiếc răng và hiệu quả điều trị sau này. Hãy bình tĩnh và thực hiện các bước sau:
- Thu thập mảnh vỡ: Nhặt lại tất cả các mảnh răng bị vỡ (nếu có). Rửa sạch nhẹ nhàng dưới vòi nước và bảo quản trong một hộp nhỏ chứa sữa tươi không đường hoặc nước muối sinh lý. Đừng chà rửa mạnh vì có thể làm hỏng các tế bào còn sống.
- Vệ sinh khoang miệng: Súc miệng nhẹ nhàng bằng nước muối ấm để làm sạch vùng răng bị gãy và ngăn ngừa nhiễm trùng.
- Cầm máu: Nếu có chảy máu, hãy dùng một miếng gạc y tế sạch hoặc bông gòn ấn nhẹ vào vị trí chảy máu trong khoảng 10-15 phút.
- Giảm sưng đau: Chườm một túi đá lạnh bên ngoài má hoặc môi, tại vị trí răng bị gãy để giảm sưng và làm dịu cơn đau.
- Đến nha sĩ ngay: Đây là bước quan trọng nhất. Hãy liên hệ và đến phòng khám nha khoa gần nhất càng sớm càng tốt.
Răng Cửa Bị Gãy Phải Làm Sao? Các Phương Pháp Phục Hình Hiệu Quả
Sau khi thăm khám và đánh giá mức độ tổn thương, nha sĩ sẽ tư vấn cho bạn giải pháp phù hợp. Dưới đây là những phương pháp phục hình răng cửa bị gãy phổ biến và hiệu quả nhất hiện nay.
1. Trám Răng Thẩm Mỹ
Trường hợp áp dụng: Răng bị mẻ, vỡ ở mức độ nhẹ, chỉ mất một phần nhỏ mô răng (dưới 1/3 thân răng).
Quy trình: Nha sĩ sẽ sử dụng vật liệu composite có màu sắc tương đồng với răng thật để tạo hình lại phần thân răng bị thiếu. Vật liệu này sau đó được làm cứng lại bằng đèn quang trùng hợp.
Ưu điểm: Nhanh chóng (chỉ mất khoảng 15-30 phút), chi phí thấp, bảo tồn tối đa mô răng thật, thẩm mỹ cao.

2. Bọc Răng Sứ
Trường hợp áp dụng: Răng bị gãy vỡ lớn (hơn 1/3 thân răng) nhưng chân răng vẫn còn chắc khỏe, hoặc răng đã chữa tủy.
Quy trình: Nha sĩ sẽ mài nhỏ một phần cùi răng thật để tạo trụ, sau đó chế tác một mão răng sứ có hình dáng và màu sắc y hệt răng thật để chụp lên trên.
Ưu điểm: Phục hồi hoàn hảo cả chức năng ăn nhai và thẩm mỹ, độ bền rất cao, bảo vệ răng thật khỏi các tác nhân bên ngoài.
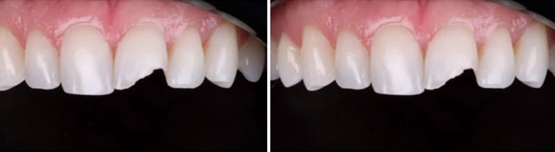
3. Dán Sứ Veneer
Trường hợp áp dụng: Răng cửa bị mẻ ở cạnh cắn hoặc có những vết nứt nhẹ trên bề mặt, mong muốn cải thiện thẩm mỹ tối đa.
Quy trình: Một lớp sứ siêu mỏng (khoảng 0.3 – 0.5mm) được thiết kế riêng và dán cố định vào mặt ngoài của răng. Quá trình này chỉ cần mài một lớp rất mỏng ở mặt ngoài răng.
Ưu điểm: Mang lại vẻ đẹp hoàn hảo, tự nhiên như răng thật, bảo tồn mô răng gốc tối đa so với bọc sứ.

dán sứ veneer gãy răng cửa
4. Cấy Ghép Implant
Trường hợp áp dụng: Đây là giải pháp cuối cùng khi răng cửa bị gãy quá nặng, tổn thương sâu xuống dưới nướu, chân răng bị lung lay hoặc không thể giữ lại được.
Quy trình: Nha sĩ sẽ cắm một trụ Implant bằng Titanium vào xương hàm để thay thế cho chân răng đã mất. Sau khi trụ Implant tích hợp ổn định, một mão răng sứ sẽ được gắn lên trên.
Ưu điểm: Là phương pháp phục hình toàn diện nhất, ngăn ngừa tiêu xương hàm, độ bền vĩnh viễn, chức năng và thẩm mỹ như răng thật.

Lời Kết
Việc răng cửa bị gãy chắc chắn là một trải nghiệm khó chịu, nhưng bạn không cần phải quá hoảng sợ. Điều quan trọng là thực hiện đúng các bước sơ cứu ban đầu và đến gặp nha sĩ càng sớm càng tốt. Tùy vào tình trạng cụ thể, luôn có một giải pháp phục hình phù hợp để giúp bạn lấy lại nụ cười rạng rỡ và sự tự tin vốn có. Nếu bạn đang băn khoăn “răng cửa bị gãy phải làm sao”, hãy liên hệ ngay với chúng tôi để được các chuyên gia thăm khám và tư vấn kế hoạch điều trị tốt nhất cho bạn.



